Nos réalisations

cire dentaire modelage prothetique Nos réalisations label-dent
desilicate lithium prothese esthetique durable Nos réalisations label-dent

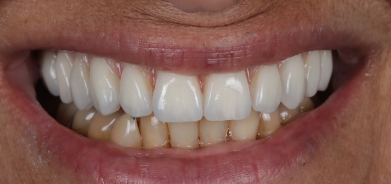
Cas 1

zicorne prothese esthetique precision Nos réalisations label-dent
titane prothese dentaire haute resistance Nos réalisations label-dent

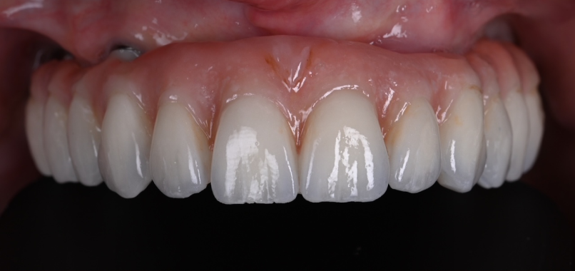
Cas 2

dentisterie esthetique flux numerique dentaire Nos réalisations label-dent
cas dentisterie esthetique solutions prothetiques avancees Nos réalisations label-dent

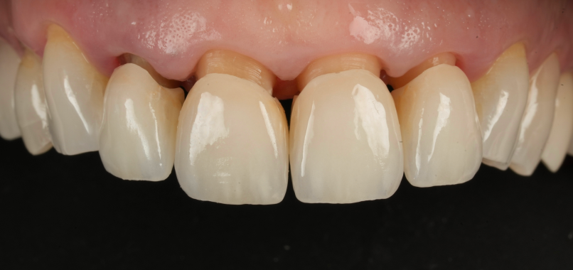
Cas 3

dentisterie esthetique prothese haute precision Nos réalisations label-dent
dentisterie esthetique laboratoire dentaire expert Nos réalisations label-dent
dentisterie esthetique restauration prothetique moderne Nos réalisations label-dent

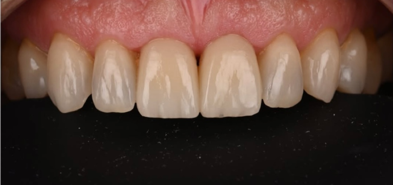
Cas 4

prothese dentaire flux numerique avance Nos réalisations label-dent
prothese dentaire adaptation morphologique parfaite Nos réalisations label-dent
prothese dentaire restauration sur mesure Nos réalisations label-dent

Cas 5

Nos vidéos

Cas 1

Cas 2

Cas 3

Cas 4

Cas 5

Cas 6

Cas 7

Cas 8

Cas 9

Cas 10

Cas 11

Cas 12

Retour

Accès

Horaires d'ouverture
Lundi
08h30 - 12h30
13h30 - 17h30
Mardi
08h30 - 12h30
13h30 - 17h30
Mercredi
08h30 - 12h30
13h30 - 17h30
Jeudi
08h30 - 12h30
13h30 - 17h30
Vendredi
08h30 - 12h30
13h30 - 17h30

Contactez-nous

    ZAC Belle Fontaine rue de la Source, 57155 Marly
    03 87 63 82 99
    Contactez-nous